Pubblicato nell'Ottobre 1995

Epulide fibromatosa,escissione chirurgica profonda
GUSTAVO PETTI
Medico Chirurgo Specialista in Odontoiatria - Parodontologo di Cagliari, P.zza Repubblica 4,
tel 070 498159
web site www.gustavopetti.it
Parole chiave:
Epulide , membrana amniotica ,osteotomia osteoplastica.

L'epulide è un tumore del parodonto.
Di non facile diagnosi ed abbastanza raro , se ne presenta qui un caso da "manuale".
La sua escissione chirurgica deve essere molto accurata e deve comprendere le zone circostanti
di tessuto sano per evitare le recidive.
Con lo scopo di dare una guida chirurgica semplice e alla portata di tutti ,questo caso sarà esposto similmente ad un atlante di tecniche chirurgiche.

 


Fig. 1
Epulide fibromatosa in regione 22 e 23 .
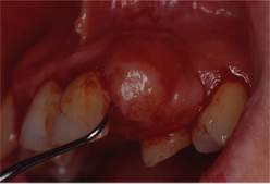
Fig. 2 e Fig. 3
Il sondino parodontale rileva una tasca si 14 mm., a dimostrazione dell'inserzione profonda nel parodonto profondo, oltre che nel legamento parodontale.
Fig. 4
Si vede bene il coinvolgimento massivo dei 21, 22 e 23 .
Fig. 5
Dopo la detartrasi e il curettasge e scaling l'epulide appare molto meno infiammata e quindi aggredibile chirurgicamente.
Fig. 6
Si attua l'avulsione chirurgica del 21, in quanto il legamento parodontale del 21 è coinvolto decisamente nell'origine dell'epulide.
Dispiace sacrificare un dente così bello ma l'intervento per la asportazione chirurgica del tumore parodontale deve essere assolutamente radicale.
Fig. 7 e Fig. 8
Fasi dell'intervento per la rimozione chirurgica dell'epulide.
Fig. 9 e Fig. 10
Il tumore asportato e rispettivamente, dopo un prelievo bioptico in più zone del tumore, tessuto tumorale bioptico in provetta sterile con formaldeide per invio immediato in laboratorio per una analisi di conferma istopatologica.
Fig. 11
Il tessuto osseo dopo la escissione dell'epulide.