 |
Fig. 10
Ingrandimento delle suddette strutture con le frecce colorate che indicano
come si intersecani le une nelle altre. L'attacco maschio A
si inserisce (seguire freccia blu) nella femmina A1,
Il doppio braccio d'appoggio B si
inserisce (seguire freccia rossa) nella doppia fresatura B1
ed infine la coulisse maschio C (seguire
freccia celeste) si inserisce nella coulisse femmina C1. |
|
|
|
|
|
|
|
|
|
|
|
|
|
|
 |
|
|
|
Fig. 11
Le due protesi fissa e rimovibile, collegate, sul modello dell'arcata
superiore. |
|
|
|
|
Fig. 12
Cerchiati in blu è la zona dove si incastrani gli attacchi, le
fresature e le coulisse. |
|
|
|
|
|
|
|
|
|
|
|
|
|
 |
Fig. 13
Cerchiato in blu la zona critica dell'unione
delle due protesi con le lettere blu A
che indica il collegamento tra i due attacchi maschio e femmina, sotto
i denti, B il braccio doppio d'appoggio
che si incastra sulla fresatura doppia che sta sotto e C
la coulisse maschio che si inserisce in quella femmina che sta sotto.
|
|
|
|
|
|
|
|
|
|
|
|
|
|
|
|
|
|
|
|
|
|
|
|
|
|
|
|
|
|
|
|
|
|
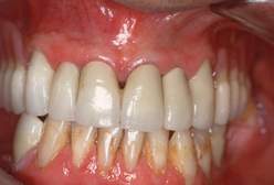
Fig. 14
Le due protesi inserite in bocca. |
|
|
|
|
|
|
|
|
|
|
|
|
|
|
|
|
|
|
|
|
|
|
|
|
|
|
|
|
|
|
|
|
Fig. 15
L'arcata superiore riabilitata nella funzione e nell'estetica, SENZA
GANCI.
|
|
|
|
|
|
|
|
|
|
Fig.16
L'estetica ed il sorriso.
|
|
|
|
|
|
|
|
|
|
|
|
|
|
|
|
|
|
|
|
|
|
|
|
|
 |
|
|
|
|
|
|
|
|
|
|
|
|